Odontología y deporte
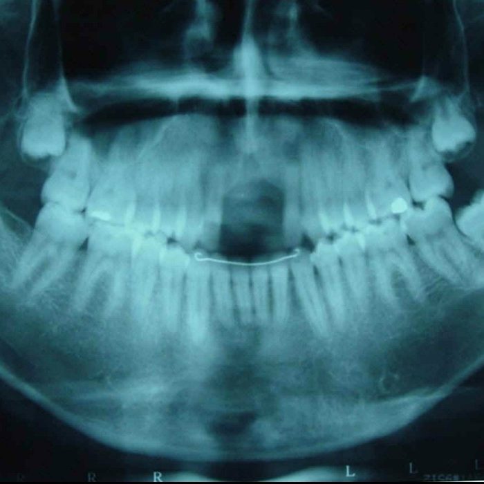
El control de la salud buco-dental es uno de los aspectos menos atendidos en lo referente a la salud integral de los atletas en los servicios dedicados a la medicina del deporte. La salud bucal debe estar siempre presente en un deportista y en mente del grupo de profesionales que lo rodea como parte de…



























